
[뉴스클레임]
아모레퍼시픽(대표이사 김승환)이 미세조류 클로렐라에서 추출한 PDRN의 피부 재생 효과를 밝혔습니다. 관련 연구 결과는 국제 저널 ‘피부과학 연구 아카이브(Archives of Dermatological Research)’에 게재됐습니다.
7일 아모레퍼시픽에 따르면 PDRN(Polydeoxyribonucleotide, 폴리데옥시리보뉴클레오타이드)은 피부 재생 및 상처 치유를 촉진하는 물질로 최근 주목받고 있습니다.
특히 국내에서는 해당 성분을 정제해 의약품, 의료기기 및 화장품의 원료 등으로 다양하게 활용하는 중입니다. 기존의 PDRN은 대부분 연어나 송어 등에서 추출한 동물성 성분을 활용했으나, 아모레퍼시픽은 지속가능하고 대량 생산이 가능한 비동물성 PDRN을 생산하기 위해 미세조류 '클로렐라(Chlorella protothecoides)'에 주목했습니다.
아모레퍼시픽 R&I센터는 해양수산부 '해양바이오 원료제형 기술개발' 사업에 참가해 클로렐라에서 추출한 PDRN 관련 연구를 진행했습니다. 이를 통해 고함량 저분자 PDRN 생산 공정을 개발할 수 있었으며, 이번 연구를 통해 'Blue PDRN'이라고 명명한 물질의 작용 기전과 피부 재생 효과를 밝혀냈습니다.
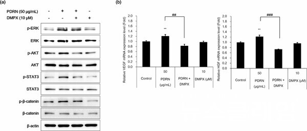
해당 연구에 따르면 미세조류에서 유래한 'Blue PDRN'은 상처 치유 과정에서 일어나는 피부 세포의 증식과 이동을 크게 향상시키고, 피부 조직을 구성하는 콜라겐 합성 및 혈관 생성 관련 인자의 발현을 높여줍니다. 또한 기존의 동물성 PDRN과 마찬가지로 아데노신 A2A 수용체(A2AR) 메커니즘을 통한 피부 재생 유도 효과도 확인할 수 있었습니다.
